Top.Mail.Ru
krasnodar@dia-m.ru 8 (800) 234-05-08
8-863-303-55-00
Ваш регион Москва?

Вернуться назад

Реагент, стабилизирующий РНК в образцах животных тканей RNAlater, Qiagen

Артикул Цена, руб. Наличие на складе Количество
76106 250 мл 108 543 Под заказ

Описание

Оплата и доставка

Реагент RNAlater быстро стабилизирует РНК в животных тканях, предотвращая её деградацию.

Особенности реагента:
  • быстрая стабилизация РНК и её защита от деградации;
  • незаменимость при анализе экспрессии генов;
  • хранится и используется при комнатной температуре;
  • эффективно заменяет жидкий азот;
  • пригоден для длительного хранения образцов тканей без деградации РНК.

2 мл раствора достаточно для консервации образцов массой до 200 мг, но, так как объём реагента зависит от свойств ткани (активность ферментов, плотность ткани, количество соединительнотканных компонентов и т.д.), рекомендуется ознакомиться с подробной инструкцией перед использованием.

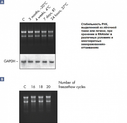
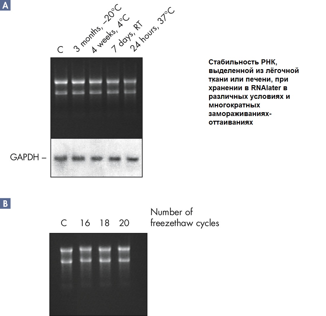
Стабилизированные в RNAlater образцы могут храниться до 1 суток при +37, до 7 суток при комнатной температуре, до 4 недель при +2-8 °С или неограниченно при -20 или -80 °С.
Раскрыть описание

Доставка

Доставка осуществляется по всей России и странам СНГ. Возможен самовывоз со склада по адресу Московская область, г. Мытищи, 7-й Ленинский переулок, д.13. Доставка по Москве и Московской области осуществляется бесплатно.

Цена товара указана со склада в Москве и не включает расходы на доставку в другие города.

Вы можете выбрать способ доставки в личном кабинете, чтобы он автоматически указывался при оформлении всех последующих заказов. При выборе варианта «Транспортная компания по выбору клиента» укажите в комментариях транспортную компанию, с которой вы предпочитаете работать.

Точная стоимость доставки рассчитывается менеджером при подтверждении заказа в зависимости от весообъемных характеристик и дальности. Товары, требующие особого температурного режима, доставляются с соблюдением требуемых условий. Если в заказе есть прекурсоры, необходимо оформить официальное письмо об отпуске прекурсоров. (образец письма об отпуске прекурсоров)


Оплата

Компания Диаэм работает с юридическими и физическими лицами. После оформления заказа продавец-консультант сформирует счет и направит его вам по электронной почте и на страницу заказа в Личном кабинете на сайте. Вы также можете сами сформировать счет из Корзины, авторизовавшись на сайте. Счет оплачивается через банк. Вы можете оплатить товар в кассе Диаэм или любом отделении банка.

Для получения товара необходимо предоставление доверенности организации, а для получения товара при оплате физическим лицом необходим паспорт.

Раскрыть анкету для отправки запроса

С этим товаром покупают
28704
Нет в наличии
28706
Нет в наличии
31 995 руб.
124 615 руб.
1953.0100
Нет в наличии
1953.0250
Нет в наличии
1953.0025ф
Нет в наличии
По запросу
90 652 руб.
По запросу
EP0702
Нет в наличии
EP0703
Нет в наличии
EP0701
Нет в наличии
EP0705
Нет в наличии
EP0704
Нет в наличии
22 517 руб.
122 223 руб.
По запросу
По запросу
По запросу
Ваш заказ будет обработан
в ближайшее время.
Мы пришлем уведомление, как только все будет готово. Спасибо!